身体的细微变化往往是我们健康状况的早期信号。有时候,看似微不足道的症状,如身体某些部位的肿胀,可能是大病的预警。哪些地方肿起来预示大病?下面将详细介绍几个常见的身体肿胀部位及其可能预示的大病。
一、脸部肿胀
1、牙龈脓肿

脸部肿胀的一个常见原因是牙龈脓肿,这是由牙齿周围细菌感染引起的。治疗方法包括抗生素和牙科手术。

2、腮腺炎

腮腺炎是腮腺感染引起的炎症,表现为腮腺肿胀和疼痛。大多数腮腺炎由病毒引起,通常会在几周内自行消退。
3、过敏反应
脸部肿胀可能是过敏反应的表现十大品牌网,如食物过敏、药物过敏或者接触性皮炎等。在这种情况下,避免接触过敏原并寻求医疗帮助是关键。

4、其他疾病
持续的眼睑肿胀可能预示着肾脏疾病、心脏病或者其他全身性疾病。特别是当眼睑肿胀伴随着尿频、尿痛、泡沫尿等症状时,可能是肾脏疾病的信号。
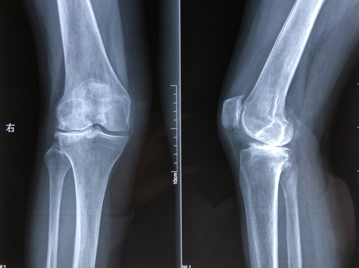
二、手脚肿胀
1、关节炎
手脚关节肿胀可能是关节炎的症状,如类风湿性关节炎或者骨关节炎。关节炎的治疗通常包括药物、物理治疗和改变生活方式。

2、深静脉血栓
手脚肿胀还可能是深静脉血栓的征兆,这是一种血液在静脉中凝固形成的疾病。深静脉血栓需要及时就医,以防止严重并发症的发生。
3、淋巴水肿
淋巴水肿是由于淋巴系统受阻导致淋巴液在组织中积聚。治疗淋巴水肿的方法包括物理治疗、药物治疗和手术治疗。

微信扫一扫打赏
